Tooth Abrasion – Causes, Symptoms, and Solutions

Ever noticed those little notches near your gumline or felt sensitivity when sipping your morning coffee? You might be dealing with tooth abrasion—a silent dental issue that affects millions without them even realizing it. As someone who’s spent years talking with patients confused about their “disappearing” tooth structure, I can tell you this is way more common than you’d think.
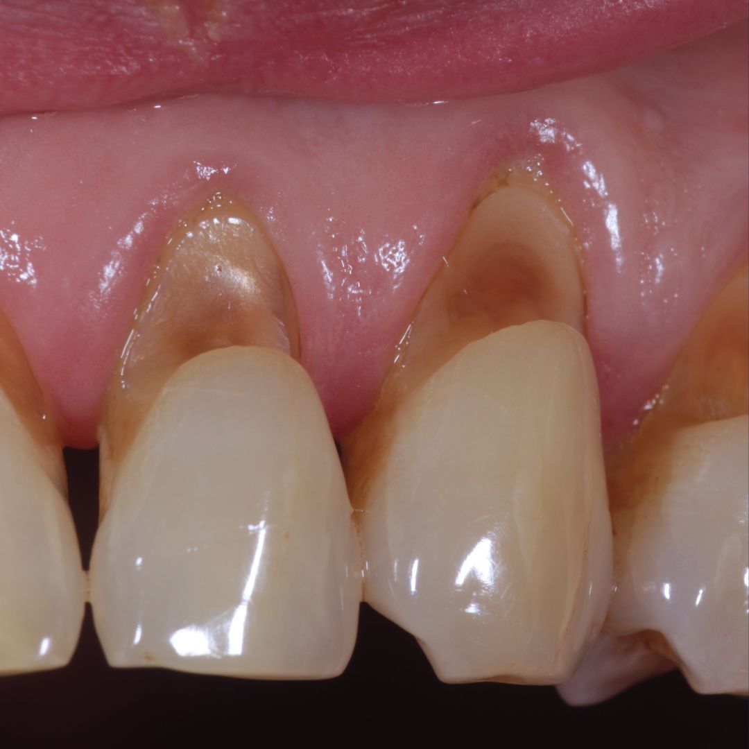
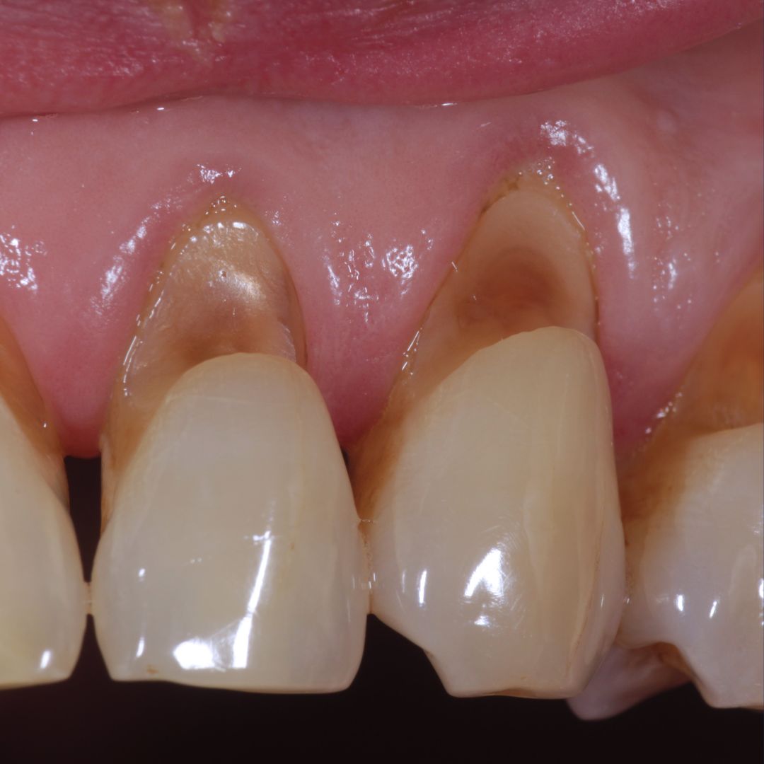
Insert image of tooth abrasion at gumline here
What Is Tooth Abrasion?
Tooth abrasion is the gradual wearing away of tooth structure caused by mechanical forces—basically, something physically rubbing against your teeth that isn’t food. Unlike decay, which is caused by bacteria, abrasion is purely mechanical damage.
I remember a patient who came in panicking about “holes” forming near her gums. She was brushing three times daily with incredible force, thinking harder meant cleaner. That aggressive brushing was literally wearing away her teeth!
Tooth Abrasion vs. Attrition: Spot the Difference
People often mix up different types of tooth wear, so let’s clear things up:
| Feature | Tooth Abrasion | Tooth Attrition |
|---|---|---|
| Cause | External mechanical forces (brushing, habits) | Tooth-to-tooth contact (grinding, clenching) |
| Location | Typically at gumline | Usually on biting surfaces |
| Appearance | V-shaped notches or wedge-shaped | Flat, worn surfaces |
| Sensation | Often sensitive | May not be sensitive until advanced |
Attrition is like two cars constantly bumping into each other—eventually, both get damaged. Abrasion is more like sandpaper repeatedly rubbing against wood.
Common Causes of Tooth Abrasion
1. Aggressive Brushing Techniques
I’ll be honest—I was guilty of this myself before dental school. Using a hard-bristled toothbrush and scrubbing like you’re removing graffiti from a wall is a recipe for disaster. Your teeth aren’t bathroom tiles!
2. Abrasive Toothpastes
Not all toothpastes are created equal. Some “whitening” formulas contain harsh abrasives that might help remove surface stains but can damage your enamel over time.
3. Harmful Oral Habits
Do you:
- Chew on pens or pencils?
- Use toothpicks aggressively?
- Open packages with your teeth?
- Hold nails between your teeth?
These habits may seem harmless but can cause significant abrasion over time.
4. Certain Occupational Hazards
I once treated a seamstress who had notches in her front teeth from years of holding pins between her teeth. Musicians who play wind instruments, carpenters who hold nails in their mouth, and even hairstylists who hold bobby pins with their teeth can develop abrasion.
Symptoms and Signs: What Does Tooth Abrasion Look Like?
Tooth abrasion typically appears as:
- V-shaped notches or wedges at the gumline
- Yellowing of the affected area (as dentin becomes exposed)
- Increased sensitivity to hot, cold, sweet, or acidic foods
- Rough or uneven tooth surface
Insert image of V-shaped notch characteristic of tooth abrasion here
Is Tooth Abrasion Serious?
The severity of tooth abrasion varies. Minor cases might just cause sensitivity, but severe abrasion can lead to:
- Increased risk of tooth decay
- Greater sensitivity
- Compromised structural integrity
- Aesthetic concerns
- Eventually, the need for more invasive treatments
I’ve seen patients whose abrasion was so severe that the pulp (nerve) of the tooth became exposed, requiring root canal treatment—definitely not something to ignore!
Solutions and Treatment Options for Tooth Abrasion
The good news? Tooth abrasion is both preventable and treatable. Here’s what you can do:
Prevention: Your First Line of Defense
- Proper Brushing Technique Use a soft-bristled toothbrush and gentle circular motions. I tell my patients to imagine they’re polishing a delicate piece of china, not scrubbing a dirty pot!
- Choose the Right Toothpaste Look for toothpastes with lower RDA (Relative Dentin Abrasivity) values. Your dentist can recommend specific brands.
- Break Those Habits Become aware of and stop using your teeth as tools. Your teeth are for eating, not opening bottles or holding hairpins!
Treatment Options: Fixing Existing Abrasion
For Mild Cases:
- Desensitizing toothpastes
- Fluoride treatments to strengthen remaining tooth structure
- Behavioral modifications to prevent further damage
For Moderate to Severe Cases:
- Dental bonding to restore the abraded area
- Fillings to protect exposed dentin
- Crowns for severely damaged teeth
- In extreme cases, root canal therapy if the pulp is affected
How to Fix Tooth Abrasion?
The treatment approach depends on severity:
- Identify and eliminate the cause This is crucial! Treating without addressing the cause is like patching a tire without removing the nail.
- For mild abrasion with sensitivity: Desensitizing agents and fluoride applications often provide relief. I’ve had patients report significant improvement within just two weeks of using specialized toothpaste.
- For moderate abrasion: Dental bonding or composite fillings can restore the tooth structure. These tooth-colored materials blend seamlessly with your natural tooth.
- For severe abrasion: Crowns might be necessary to protect what remains of the tooth structure.
Can Tooth Abrasion Be Reversed?
Here’s the brutal truth: once tooth structure is lost to abrasion, it doesn’t grow back naturally. Unlike your skin or hair, enamel doesn’t regenerate.
HOWEVER—and this is important—you can:
- Stop further progression
- Restore the appearance and function with dental treatments
- Protect remaining tooth structure
- Eliminate sensitivity
I’ve seen incredible transformations with modern dental techniques that make teeth look and feel whole again, even after significant abrasion.
Enamel Abrasion: A Special Concern
Enamel is the hardest substance in your body, but it’s not invincible. When enamel wears away, the softer dentin underneath becomes exposed.
Can Toothpaste Fix Enamel Erosion?
Standard toothpaste can’t repair lost enamel. However, certain products can:
- Remineralize weakened enamel that hasn’t been completely lost
- Help prevent further loss
- Reduce sensitivity
Look for toothpastes containing:
- Stannous fluoride
- Calcium phosphate formulations
- Hydroxyapatite
Mouth Abrasion: Beyond Just Teeth
Abrasion doesn’t just affect teeth. The inside of your cheeks, gums, and tongue can experience abrasion too, often from:
- Rough dental appliances
- Sharp edges on damaged teeth
- Aggressive oral hygiene
- Certain foods
If you notice persistent sores or raw areas, don’t ignore them—they might be signs of tissue abrasion.
Tooth Abrasion at the Gumline: A Common Problem
The area where your tooth meets the gum is particularly vulnerable to abrasion. This junction, called the cervical area, has thinner enamel and is often where we see those characteristic V-shaped notches.
Insert image of gumline abrasion here
Why Is This Area So Vulnerable?
- The enamel is naturally thinner here
- Gum recession can expose the root surface, which is covered by cementum (softer than enamel)
- It’s often missed during brushing, leading to compensatory aggressive brushing later
Dental Erosion vs. Abrasion: Understanding the Difference
These terms are often confused but represent different processes:

| Feature | Dental Erosion | Dental Abrasion |
|---|---|---|
| Cause | Chemical (acids) | Mechanical (physical forces) |
| Process | Dissolution of minerals | Physical wearing away |
| Common sources | Acidic foods, GERD, bulimia | Brushing techniques, habits |
| Appearance | Smooth, shiny surfaces | V-shaped notches, rougher texture |
You can have both simultaneously—in fact, erosion can make teeth more susceptible to abrasion by weakening the enamel.
Filling for Tooth Abrasion: What to Expect
If your dentist recommends a filling for your abrasion, here’s what happens:
- The area is cleaned and prepared
- A tooth-colored composite material is applied
- The material is shaped to match your natural tooth contour
- The filling is hardened with a special light
- Final adjustments ensure proper fit and comfort
The procedure is typically quick, painless, and provides immediate protection and aesthetic improvement.
Will a Tooth Filling Smooth Out?
Modern composite fillings are designed to maintain their texture and shape. While some slight polishing occurs naturally, a well-placed filling should remain stable for many years.
Can a Filling Fix a Deep Cavity?
When abrasion is severe enough to create a deep cavity, a standard filling might not be sufficient. In these cases:
- Your dentist might need to place a liner to protect the pulp
- A crown might be recommended for better protection
- In extreme cases, root canal therapy might be needed first
How Long Does Healing Take?
For Gum Abrasion:
Soft tissue generally heals within 1-2 weeks with proper care.
For Tooth Abrasion Treatment:
- Sensitivity usually improves within days to weeks after treatment
- Fillings and bonding provide immediate structural restoration
- Complete adaptation and comfort typically occurs within a week
I had a patient who suffered from severe sensitivity due to abrasion. After applying a desensitizing agent and placing composite bonding, she called the next day already feeling 80% better!
Is Tooth Abrasion Bad?
Untreated abrasion can lead to:
- Increased risk of decay
- Greater sensitivity
- Aesthetic concerns
- Eventual need for more extensive treatment
Even minor abrasion should be monitored, as it indicates that something in your oral care routine or habits needs adjustment.
Micro Abrasion: A Different Approach
Tooth micro-abrasion is actually a treatment technique rather than a type of damage. It involves removing a microscopic layer of enamel to eliminate superficial stains or defects.
This controlled procedure, performed by a dentist, can address:
- Fluorosis spots
- Minor discolorations
- Some enamel defects
Don’t confuse this with the damaging abrasion we’ve been discussing—micro-abrasion is a precise, controlled treatment.
Should You Fill Abfraction Lesions?
Abfraction lesions (those caused by tooth flexion under pressure) often look similar to abrasion. The decision to fill them depends on:
- Depth of the lesion
- Presence of sensitivity
- Risk of further damage
- Aesthetic concerns
Many dentists recommend filling deeper abfraction lesions to prevent further damage and reduce sensitivity.
How Do You Heal Damaged Teeth?
While teeth can’t “heal” in the traditional sense, you can:
- Stop the progression by eliminating harmful habits
- Protect the damaged area with appropriate dental treatments
- Strengthen remaining tooth structure with fluoride and other remineralizing agents
- Restore function and aesthetics with fillings, bonding, or crowns
The sooner you address abrasion, the less invasive the treatment needed.
Can a Dentist Put a Filling in a Broken Tooth?
Absolutely! Dentists can use fillings to repair teeth damaged by abrasion, especially when the damage creates a broken or chipped appearance. For more extensive damage, bonding or crowns might be recommended.
Denture Abrasion: A Different Challenge
If you wear dentures, abrasion can affect both the denture material and your remaining natural teeth. Signs include:
- Excessive wear on denture teeth
- Irritation of gum tissue
- Damage to natural teeth that contact the denture
Regular denture adjustments and proper cleaning techniques can minimize these issues.
Can You Heal a Cavity Under a Filling?
Once decay has created a cavity, it needs to be professionally removed before a filling is placed. However, very early “micro-cavities” can sometimes be remineralized with appropriate fluoride treatment if they haven’t penetrated the enamel.
For abrasion areas that have been filled, keeping the margins clean is crucial to prevent secondary decay around the filling.
Conclusion: Taking Action on Tooth Abrasion
Tooth abrasion doesn’t have to be a lifelong sentence to sensitivity and damaged teeth. With proper identification, preventive measures, and timely treatment, you can protect your smile for years to come.
Remember:
- Use gentle brushing techniques with a soft-bristled brush
- Be mindful of habits that might damage your teeth
- See your dentist regularly to catch abrasion early
- Address sensitivity promptly—it’s often the first warning sign
Your smile is worth protecting, and understanding tooth abrasion is an important step in that journey.
Ready to address your tooth abrasion concerns? Schedule a dental consultation to get personalized advice and treatment options tailored to your specific situation.
